오래전에 치료받은 지아이라는 재료가 탈락하여 레진빌드업으로 재치료한 케이스입니다.

초진사진입니다. 사진을 보면 오래 전 케이스라는 것을 알 수 있습니다.
좌측 아래 첫번째 큰 어금니에 보험되는 재료인 지아이로 충전되어있는 것을 알 수 있습니다.
지아이는 치과에서 사용하는 보험되는 치과재료 중 하나로 마모나 강도 면에서 레진보다는 물리적 성질이 떨어집니다.
하지만 비용이 싸다는 점과 술 후 민감증이 잘 안 생긴다는 장점이 있지요.
개인적으로는 치아 씹는 면을 지아이로 치료하는 것은 결국 탈락하게 된다고 봅니다.
무엇보다 치아와 직접적인 접착을 하지 못하게 되고 따라서 결국 시간이 흐르면 교합력에 탈락을 하게 되버리는 경우가 대부분입니다. 또한 지아이로는 치아의 형태를 만들 수가 없다는 단점도 있습니다.
그래서 젋은 환자분들께는 웬만해서는 지아이 치료보다는 레진치료를 권해드립니다.

레진치료를 위해서 러버댐을 장착합니다.
예전에 많이 사용하던 러버댐입니다. 이 러버댐도 비싼 편이지만 지금은 이 러버댐보다 3배는 더 비싼 러버댐을 사용하고 있습니다.

기존 치과재료를 다 제거하고 레진으로 치아의 형태를 하나씩 쌓아서 만들어 완성합니다.

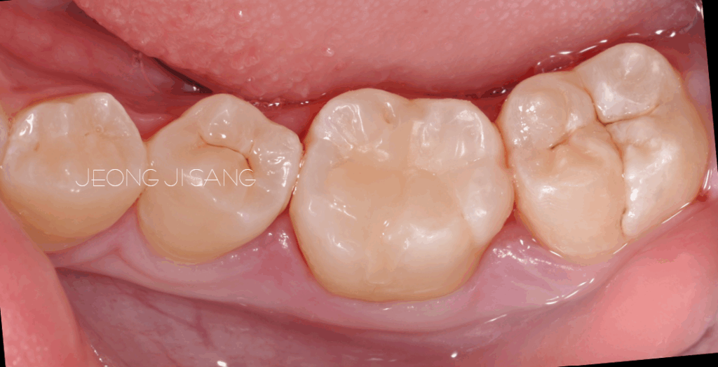
오래전 케이스이긴 하지만 그 당시에도 치아의 형태를 비교적 잘 재현했었네요.

형태를 만든 후에 어느 정도 다듬은 후 러버댐을 제거합니다.
그리고 높이도 확인하면서 치료를 마무리합니다.
레진빌드업 치료 시에 치료시간을 줄이려면 위아래, 양 옆 치아의 형태를 잘 보고 레진을 잘 쌓는 것입니다. 말은 쉽지만 이게 생각보다 어려운 과정이긴 합니다.

옆에서 보면 이렇습니다.
지금까지도 잘 사용하고 계시는데요.
예전에 치료받은 ‘지아이’같이 쉽게 파절되거나 마모되지는 않을 것입니다.
앞으로도 오래 오래 잘 사용하시기를 바라겠습니다.
레진빌드업 치료시에는 러버댐 장착이 필수입니다.
레진을 쌓아가는 동안 입안에 있는 침, 습기, 혈액, 혀 등으로부터 치료부위를 보호해야하기 때문입니다.
레진빌드업의 경우 치과의사의 손이 많이 가는 치료입니다.
러버댐도 제대로 걸어야하고 충치로 제대로 삭제해하고 레진으로 자연적인 형태를 만들어야하지요.
따라서 그 만큼 시간이 걸리고 치료비용도 비싼 편입니다.
치료비용은 치료범위, 치아위치, 치료 난이도에 따라 차이가 많이 납니다.
초진 당일에는 치료가 어려울 수 있습니다.
구강검진을 통해 치료계획을 정하고 이에 따라 치료시간을 정하게 됩니다.
충치에 대한 진단은 육안으로 보는 것만으로는 충분하지 않습니다.
엑스레이, 환자분의 증상까지 포함하여 종합적으로 고려하여 치료여부를 결정합니다.
깊은 충치의 경우 MTA를 이용하여 치료를 해야할 수 있습니다.
레진빌드업 치료는 최소삭제를 지향하는 치료입니다.
여러가지 이유로 러버댐 장착이 불가하면 레진빌드업 치료가 어려울 수 있습니다.
답글 남기기