오늘은 깊은 충치를 오버레이로 치료한 케이스를 보도록 하겠습니다.

좌측 위 첫번째 큰어금니 깊은 충치로 통증을 호소하셨습니다.
엑스레이 상에서 치아사이로 깊은 충치를 확인할 수 있습니다.
깊지 않은 치아 사이 충치는 별다른 증상이 없기 때문에 치료시기를 놓치는 경우가 매우 빈번합니다.
충치가 깊어서 신경 가까이까지 도달해야 불편감이 생기니 충치가 신경에 도달하기 전에 치과에서 정기적으로 엑스레이를 촬영해서 검진을 제대로 하는 것이 필수입니다.
충치를 제거하고 나니 신경이 노출되어서 MTA를 이용하여 신경을 보호?해주고 그 상방을 레진으로 채워줍니다.
증상이 없는 것을 확인한 후에

위와 같이 오버레이 제작을 위한 치아 삭제 및 레진베이스를 만들어 줍니다.

오버레이의 경우 크라운보다는 치아 삭제량이 적은 편입니다.
그렇다고 너무 얇게 삭제를 하지는 않습니다. 왜냐하면 오버레이가 파절될 수 있기 때문입니다. 또한 원래 치아의 해부학적 형태를 재현하려면 충분한 공간이 필요합니다.

세라믹으로 제작하는 오버레이의 경우 치아의 심미적인 형태를 재현하려면 기공과정에서 정성을 다 해야합니다.
위 아래 물리는 관계를 고려하여 해부학적인 형태를 잘 재현해주셨습니다.

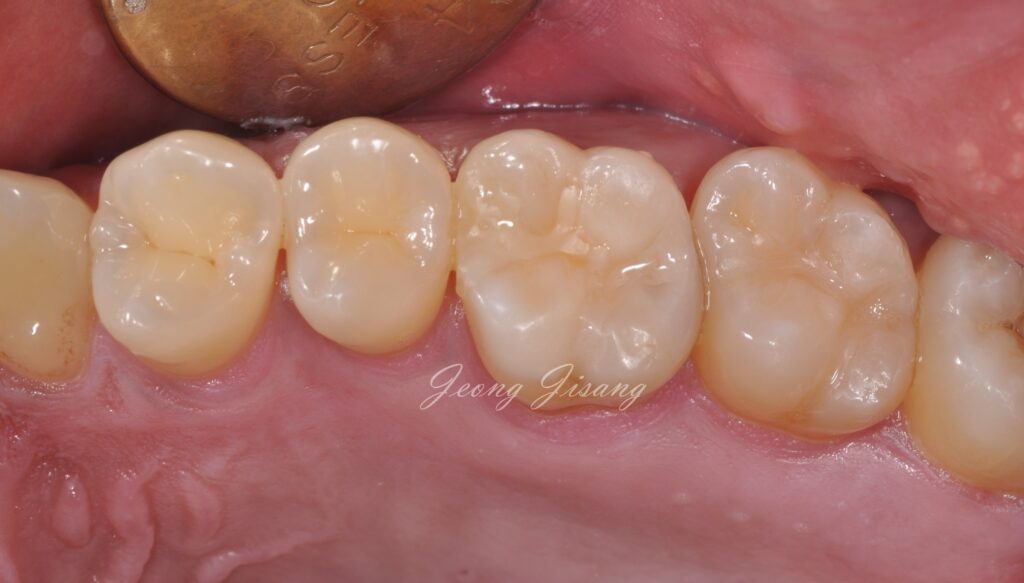
접착을 마친 후 사진입니다.
접착과정이 매우 복잡하기 때문에 치료과정이 단순하지는 않습니다.
그래서 환자분께서 입을 크게, 오래 벌리고 계셔야하지만
이러한 치료를 통해 치아 삭제량을 그나마 줄일 수 있다고 생각합니다.
오버레이치료는 크라운보다 삭제량이 적은 치료방법으로 접착을 통해 치아에 부착을 합니다.
치아를 덜 삭제하기 때문에 추후 재치료시에 유리한 점이 있습니다 .
이미 크라운을 한 치아는 오버레이로 재치료가 불가합니다.
처음 내원 당일에는 검진을 통해 치료방법을 결정하게 됩니다.
치료시간이 짧지 않기에 초진 당일에는 치료가 어려울 수 있습니다.

답글 남기기