이번 케이스는 잇몸에 고름주머니가 생겨서 신경치료와 오버레이로 치료한 케이스입니다.
사진을 확인하면 아래와 같습니다.

맨 좌측에 있는 큰 어금니 뺨쪽으로 고름주머니가 보입니다.

바로 여기입니다. 잇몸에 고름주머니가 생겼다는 것은 치아 주변으로 염증이 생겼다는 것을 의미합니다. 그리고 많은 경우 치아 내부에 문제가 생겨서 발생합니다.

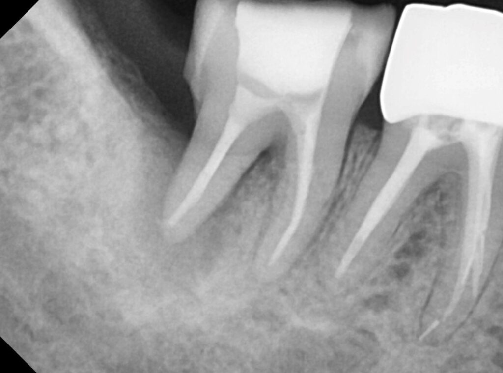
이렇게 치아 뿌리쪽으로 염증이 생겨있기 때문에 고름주머니가 생긴 것입니다.
고름주머니를 없애기 위해서는 치아를 치료해야합니다.
치아로 인해 생긴 잇몸 고름주머니는 약으로 해결되지 않습니다 .
또한 잇몸치료(염증치료)만으로도 해결되지 않습니다.
원인이 치아 내부이기 때문에 신경치료를 하든가 아님 치근단절제술을 하든가 아님 발치를 하든가 해야 해결됩니다.
이렇게 강조하는 이유는 많은 환자분들께서 신경치료나 치근단절제술 또는 발치 없이 약으로만 해결하기를 원하시기 때문입니다.
하지만 안타깝게도 약이나 간단한 잇몸치료만으로는 전혀 해결이 되지 않습니다.
잠시 사라진 것처럼 보이지만 없어지지 않을 뿐더러 상태만 더 나빠지게 됩니다.
이 케이스처럼 잇몸에 생긴 고름주머니를 치료하기 위해서는 신경치료나 재신경치료가 필요합니다.
치료계획은 신경치료 후에 오버레이로 치료를 마무리하는 것입니다.
뿌리쪽에 염증이 있어서 장시간 경과를 지켜보면서 신경치료를 마무리합니다.

잇몸에 있던 고름주머니는 신경치료과정 중에 이미 사라진 상태입니다.
이렇게 신경치료를 마무리하는 데에도 시간이 적지 않게 걸립니다.
신경치료를 마무리한 후 이제 치아의 머리부분을 만들어야합니다.
큰어금니의 신경치료가 끝나면 대부분 크라운으로 마무리를 하곤하는데요.
치아 삭제량이 더 적은 오버레이로 치료하기로 합니다.
오버레이(overlay)치료는 접착치료를 기반으로 치아의 씹는면을 세라믹재료로 복원하는 방법입니다. 저희치과에서는 크라운치료만큼 오버레이를 자주하고 있는데요.
오버레이치료에서 가장 중요한 점은 접착을 할 수 있는 환경을 만드는 것입니다.
그러한 접착환경을 만드는 데에 가장 중요한 도구는 러버댐입니다.
오버레이나 레진빌드업같은 접착치료는 러버댐없이 불가능하다고 보면 됩니다.

이렇게 러버댐을 장착한 상태에서 오버레이형태의 삭제를 한 후에 본을 뜨게 됩니다.

본을 뜨기 위해 러버댐을 제거한 상태입니다.
이 상태에서 본을 뜬 다음에 임시재료로 덮은 다음 귀가하게 됩니다.
그리고 일주일 정도 후. 오버레이를 붙이기 위해 러버댐을 다시 장착합니다.
오버레이는 접착이 생명이기 때문에 접착을 제대로 하기 위해서 본뜨기 전에, 그리고 제작된오버레이를 붙일 때 모두 러버댐을 장착합니다.
접착환경이 제대로 마련되지 않으면 오버레이치료는 불가합니다.

이렇게 신경치료와 오버레이로 치아를 복원할 수 있었습니다.

초진사진을 보면 발치할 것 같은 치아였지만 신경치료와 오버레이를 통해서 발치를 하지 않고

이렇게 치료를 마무리할 수 있었습니다.
치아 뿌리쪽으로 있던 염증이 점점 사라지고 뼈로 치유되고 있습니다.
하지만 치석을 제거하는 잇몸치료도 해야하지만 환자분께서 잘 내원을 안 하고 계시는데요ㅠ
신경치료나 오버레이치료만큼 중요한 것이 잇몸치료인데 안타깝습니다.
아마 나중에 또 문제가 커지면 오실지도 모르겠네요.
저는 치아를 살려드렸는데요.
하지만 그러한 치아를 잘 보존하는 것은 환자분들의 지분이 큽니다.
오래 오래 잘 사용하시기를 바라겠습니다.
